Atendimento no ABC e Região

Excelência em Endodontia
dentro da sua clínica

Leve para o seu consultório o padrão ouro em tratamento de canal. Tecnologia de ponta, resolução em sessão única e a credibilidade de uma especialista.

Por que contratar?

Vantagens do Endodelivery

Mais do que um serviço, uma parceria estratégica para o crescimento do seu consultório.

Aumenta seu Faturamento

Trabalhando com o Endodelivery os valores são tabelados. Você tem previsibilidade dos custos e, consequentemente, do lucro que o seu consultório terá.

Aumenta a Credibilidade

Ter um especialista realizando os tratamentos dentro da sua estrutura aumenta a confiança e o prestígio do seu consultório perante o paciente.

Retém e Atrai Pacientes

Tratamento com qualidade, agilidade e transparência. O paciente se sente seguro, satisfeito e acaba indicando sempre o seu consultório.

Planejamento em Conjunto

Parceria de verdade. Caso queira planejar algum caso complexo ou retirar qualquer dúvida técnica, conversamos diretamente via WhatsApp.

Suporte Total ao Paciente

Não se preocupe com a recuperação. O paciente terá meu contato direto para qualquer dúvida ou emergência no pós-operatório.

Procedimentos Realizados

Tratamento e Retratamento
Desobturação
Selamento de Perfurações
Remoção de Trabalho Protético
Capeamento Pulpar
Cimentação de Pino de Fibra
Alta Performance

Tecnologia que gera Segurança

Não é apenas sobre tratar canais, é sobre previsibilidade e conforto.

  • RX Portátil & Sensor Digital

    Menos radiação, imagem instantânea e agilidade no diagnóstico.

  • Agitador Sônico

    Potencializa a ação das soluções irrigadoras (limpeza superior).

  • Cortador de Guta

    Mais agilidade, segurança térmica e velocidade na obturação.

RX Portátil
RX Portátil
Sensor Digital
Sensor Digital
Agitador Sônico
Agitador Sônico
Cortador de Guta
Cortador de Guta

A Experiência Dra. Ju

Cuidados que vão além do procedimento clínico.

Para o Dentista:
Transparência Total

Em todos os atendimentos, realizo a entrega de um relatório pós-procedimento completo (com fotos e RX), pensado para oferecer transparência, confiança e suporte clínico ao dentista indicador.

Modelo de Relatório

Para o Paciente:
Cuidado e Acolhimento

O paciente recebe orientações impressas claras e um chá cuidadosamente selecionado, pensado para promover conforto e bem-estar no pós-tratamento. Disponibilizo meu WhatsApp pessoal para suporte.

Kit Pós Operatório

Para o Paciente:
Auriculoterapia

Recuperação Acelerada. Agora contamos com a Auriculoterapia como aliada. Uma técnica integrativa que auxilia no controle da ansiedade e da dor, proporcionando um pós-operatório muito mais tranquilo e confortável.

Auriculoterapia

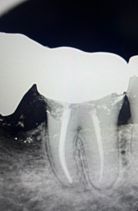
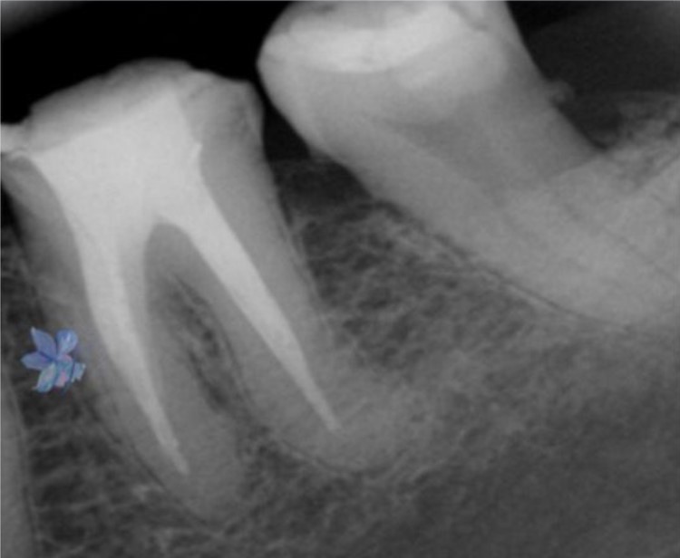
Casos Clínicos

Excelência comprovada em imagens radiográficas.

INICIAL
Diagnóstico Inicial
FINAL
Tratamento Concluído
Detalhes Radiográficos
"

O que dizem os Parceiros

AF

Dr. Alexandre Fuzimoto

CROSP 60.435 | Bucomaxilo

"Conheci a dra. Julianne Évora através de uma indicação de uma amiga e desde 2018 ela vem sendo minha endodontista e parceira aqui na clinica. Profissional competente, responsável e sempre atualizada nas novidades. Eu recomendo e indico os seus serviços.”

AC

Dra. Ana Carolina Romero

CROSP 102.350

"Durante o período que trabalhei com a Dra. Julianne, foi notável o alto nível técnico, com aplicação do que há de mais moderno na endodontia, além da humanização no tratamento. Ela é indispensável na resolução de casos desde os mais simples até os mais complexos."

DF

Dra. Daniela de Fabrizio

CROSP 75.554 | Protesista

"Trabalhei por vários anos com a Dra Julianne e a admiro muito como pessoa e como profissional. Como protesista, um tratamento endodôntico satisfatório é fundamental para meus casos clínicos e o trabalho da Dra Julianne foi sempre impecável. Competente, dedicada e comprometida."

VB

Dra. Verônica Balhe

CROSP 89.701

"Conheço a Dra. Julianne desde 2016 e posso dizer com toda certeza que ela é uma profissional excepcional. Além de extremamente competente, é pontual, organizada e responsável. Estou muito feliz por tê-la como parceira. Obrigada, Ju, por tudo!"

Dra Ju Évora

CRO-SP 113.090

Oi, Prazer! Eu sou a Dra. Ju

Sou graduada desde 2014 pela Universidade Santa Cecília, onde tive a honra de conquistar uma bolsa de estudos integral — reflexo da minha paixão pelo conhecimento. Essa dedicação também foi reconhecida internacionalmente, com o primeiro lugar na apresentação de um caso clínico de reabilitação protética no Peru.

Especialista em Endodontia desde 2017, atendo diariamente casos de diferentes níveis de complexidade, sempre com foco na excelência técnica e no bem-estar dos pacientes.

Minha missão é oferecer um atendimento acolhedor e seguro, unindo conhecimento, empatia e responsabilidade. Prezo por uma comunicação clara, explicando cada etapa dos procedimentos para que o paciente se sinta tranquilo e confiante.